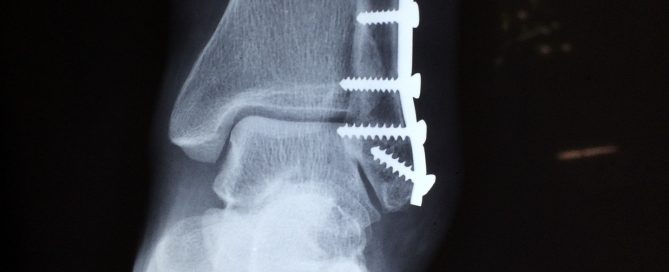
Infection nosocomiale Le 12 avril 2006, un homme approchant la soixantaine, exerçant l’activité de mécanicien monteur, est victime d’un accident du travail. Il souffre d’une fracture fermée complexe à sa cheville gauche. Hospitalisé en clinique, il est pris en charge par un médecin exerçant à titre libéral qui pratique une ponction au niveau du site traumatique … Lire la suite de Perte de gains professionnels futurs de la victime d’une infection nosocomiale devenue inapte à l’emploi
Copiez-collez cette URL dans votre site WordPress pour l’inclure
Copiez-collez ce code sur votre site pour l’y intégrer